ناهنجاری چیاری
ناهنجاری چیاری (انگلیسی: Chiari malformation) مغز افراد مبتلا به ناهنجاری چیاری بیش از حد برای جمجمهشان بزرگ است. بافت مغز آنها، معمولاً مخچه به کانال نخاعی رانده میشود. تنها یک درصد از جمعیت آمریکا ناهنجاری چیاری دارند و نه تنها در کودکان بلکه در بزرگسالان نیز دیده میشود. در حال حاضر چهار نوع از این بیماری کشف شده است. رایجترین و خفیفترین آن نوع یک و نادرترین شدیدترین حالت نوع چهار است که اغلب منجر به مشکلات عصبی مرگبار میشود. برخی افراد تا مدتها هیجان علامتی از خود نشان نمیدهند و تنها سردردهای شدید دارند. در برخی افراد نیز جراحی جمجمه ضروری میشود.
| ناهنجاری چیاری | |
|---|---|
![]() | |
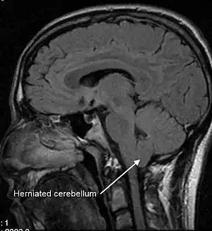
| A sagittal FLAIR MRI scan, from a patient with an Arnold-Chiari malformation, demonstrating tonsillar herniation of 7 mm | |
| تخصص | جراحی مغز و اعصاب |
منابع
- مشارکتکنندگان ویکیپدیا. «Chiari malformation». در دانشنامهٔ ویکیپدیای انگلیسی، بازبینیشده در ۲۳ نوامبر ۲۰۱۷.
This article is issued from Wikipedia. The text is licensed under Creative Commons - Attribution - Sharealike. Additional terms may apply for the media files.
