کمخونی مگالوبلاستیک
کمخونی مگالوبلاستیک (Megaloblastic anemia) شایعترین نوع کمخونی ماکروسیتیک است که عامل آن کمبود ویتامین B۱۲ یا اسیدفولیک یا هردو مربوط میباشد. کمبود فولات یا ویتامینB۱۲ کوبالامین میتواند به رژیم غذایی نامناسب یا سوءجذب مربوط باشد. کمبود فولات طبیعتاً عوارض عصبی ایجاد نمیکند ولی کمبود ویتامینB۱۲، عوارض عصبی نیز ایجاد میکند.
| کمخونی مگالوبلاستیک | |
|---|---|
![]() | |
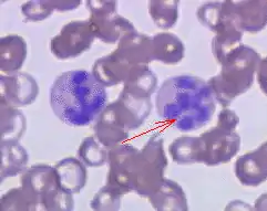
| Peripheral blood smear showing hypersegmented neutrophils, characteristic of megaloblastic anemia. | |
| طبقهبندی و منابع بیرونی | |
| تخصص | خونشناسی |
| آیسیدی-۱۰ | D۵۱.۱, D۵۲.۰, D۵۳.۱ |
| آیسیدی-9-CM | 281 |
| دادگان بیماریها | 29507 |
| مدلاین پلاس | 000567 |
| ئیمدیسین | med/۱۴۲۰ ped/۲۵۷۵ |
| سمپ | D000749 |
کم خونی پرنیسیوز: علت آن یک واکنش اتوایمیون (سیستم دفاعی بدن علیه سلولهای خودی) علیه سلولهای دیواره معده میباشد. سلولهای دیواره فاکتورداخلی را ترشح میکنند که برای جذب ویتامین B۱۲ غذا وجود آن ضروری است؛ بنابراین تخریب سلولهای دیواره سبب نبود فاکتور داخلی و در نتیجه جذب ناچیز ویتامینB۱۲ میشود.
وقتی در نتیجه آزمایش بیمار (Report sheet) هیپوکروم میکروسیتیک آنمی وجود داشته باشد، دو تشخیص افتراقی داریم:
- آنمی فقر آهن
- تالاسمی مینور
حال اگر RDW بالا باشد (بیشتر از۱۵٪)، به نفع فقر آهن و اگر پایین باشد به نفع تالاسمی مینور است. در برخی مقالات RDW بالا بعنوان یک
- اختلاف در اندازه ندارند.
چه تشخیصهای افتراقی مطرح میشود؟
- Aplastic anemia
- Anemia of liverdix
